Inicio / Cicatrices / Hipertróficas y Queloides / Tipos

Tipos

Clasificación de cicatrices hipertróficas y queloides

Cicatrices Hipertróficas

Las cicatrices hipertróficas y queloides son cicatrices abultadas que se producen debido a una alteración de la cicatrización después de cualquier lesión en la piel causada por acné, traumatismos, quemaduras, cirugía, vacunaciones, perforaciones, infecciones ó picaduras.

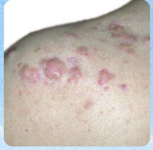
Las cicatrices hipertróficas son cicatrices elevadas rojas limitadas a los márgenes de la cicatriz. Aparecen alrededor del primer mes de la lesión, aumentan en tamaño durante 3-6 meses más, y pueden mejorar y retroceder espontáneamente en meses o años. Ocurren debido a sobreproducción de colágeno a partir de fibroblastos que tienen una respuesta normal a la estimulación del factor de crecimiento.

Las cicatrices queloides se caracterizan por un crecimiento excesivo de la cicatriz que se extiende más allá de los márgenes. La mayoría se forman durante el primer año después de la herida, pero algunos pueden comenzar a crecer años después. No retroceden espontáneamente con el tiempo, sino que pueden seguir creciendo indefinidamente. Ocurren debido a la alta producción de colágeno de fibroblastos hiperreactivos a la estimulación del factor de crecimiento, con aumento del recambio celular y metabolismo de la cicatriz.

Según el estado de evolución y el metabolismo de los queloides podemos dividirlos en:

  • Activos o proliferativos: cuando tienen color rojo, notan molestias como picor o dolor, están duros, y siguen creciendo de tamaño. Tienen muchos vasos sanguíneos que nutren al queloide estando en fase proliferativa con aumento del metabolismo.keyboard_arrow_right
  • Inactivos: pueden tener color piel, rosado o marrón, están blandos a la palpación, no tienen síntomas de picor o dolor, y están estables sin crecimiento en los últimos meses o años. Están en una fase estable como "dormidos".keyboard_arrow_right
Cicatrices Queloides

Generan un problema estético por la desfiguración física y afectación psicológica. Puede dar síntomas como picor o dolor, y alteraciones funcionales como contracturas y dificultad de movilidad, alterando de forma importante la calidad de vida. Se producen con más frecuencia en adolescentes, adultos jóvenes y pacientes de piel oscura.

Ocurren en zonas del cuerpo con mayor tensión o estiramiento como los hombros, el pecho, la espalda alta, la zona inferior del abdomen o por encima del pubis. Los queloides además pueden aparecer en la oreja.

El tratamiento combinado consigue los mejores resultados, pero a pesar de un buen resultado, tienen riesgo de recurrencia con reaparición del queloide o hipertrofia de la cicatriz a largo plazo.

¿Tienes Cicatrices Hipertróficas o Queloides?

Identifica el tipo y estado de tu cicatriz para elegir el mejor tratamiento combinado y personalizado.